中手骨骨折
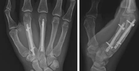
受傷後の手の状態、固定後
2025年11月3日長野県の蛇峠山下山時に転倒して、右第5指の中手骨を骨折しました。この日は朝蛇峠山周辺でにわか雨があり、登山道もぬかるんでいる場所がいくつかありました。ですから、ストックを両手に持って慎重に山を登り、下山時にも細心の注意を払っていました。登山口まで下山して気がゆるんだのか、ストックを片手で持って二本足のみで歩いた所、濡れた木の橋で滑って転倒してしまいました。右手の甲の方から打撲したのですが、当初はそれほど痛みを感じませんでした。食堂で昼食のそばを食べようとしたら、うまく右手で箸が持てません。痛み、腫れも出てきて、右第5指の周囲が青くなってきました。骨折だとすぐにわかりました。浜松市の休日在宅当番医を確認した所、以前五十肩、肋骨骨折でお世話になった整形外科が当番でした。この時14:30。急いでそばを食べ終え、自動車で2時間45分かけて、浜松まで戻り、整形外科に受診しました。X線、エコーでの診断結果は右第5指中手骨骨幹骨折。転位が40°だったため、整復が必要と判断され、麻酔薬を注射された後、X線透視下で整復していただきました。整復後、転位は20°になりました。ギプス固定し、帰宅しました。今回は中手骨骨折について調べてみました。

中手骨は手のひらや手の甲の部分を構成する骨です。中手骨は手の構造と機能を維持する上で重要な役割を果たし、縦アーチや横アーチの形成に寄与しています。第1、第4、第5指中手骨は手の可動性に関与し、第2、第3指中手骨は手の中央の柱を形成します。中手骨骨折は頻度が高く、機能障害を引き起こす可能性があります。手の骨折は、事故などで報告される全骨折の最大20%を占めています。米国では、中手骨骨折の発生率は10万人年あたり13.7人で、これはすべての手の骨折の33%(他の報告では18〜44%)を占めています。第5指中手骨骨折は中手骨骨折の中で最も頻度が高い骨折です。発症好発年齢は二峰性で、最も多く発生するのは若年男性で、次に多いのは高齢女性です。受傷機転は、多くの場合、回転を伴う軸荷重です。年齢ごとに受傷様式はやや異なり、小児および若年成人は、意図的な接触やスポーツ活動によって受傷することが多く、中年肉体労働者は仕事に関連した傷害を受けやすく、高齢者は自動車事故や転倒によって受傷する傾向があります。

診断
患者は典型的には骨折部位の疼痛、手背の腫脹、手指の関節可動域の減少がみられます。複雑骨折では、腱の癒着や関節のこわばり、神経血管損傷、併発骨折、開放骨折による感染リスクなどが認められることがあります。手のX線写真は診断に不可欠な要素です。ほとんどの骨折は、前後像(AP)、後前像(PA)、半回内位像、および側面像で診断できます。私の受診した整形外科では超音波検査を骨折の診断に用いていました。
指骨神経損傷
中手骨骨折では指骨神経損傷を合併する事があります。指骨神経は中手骨に沿って走り、初期衝撃による直接的な損傷や、転位した骨折片による圧迫損傷が起こりえます。このような損傷は感覚や運動機能に大きな影響を及ぼし、適切に対処されなければ長期的な障害につながる可能性があります。転位症例における中手骨骨折における指状神経損傷の有無を認識することが重要で、指状神経損傷の早期診断と管理は、患者の転後を改善し、手の慢性的な機能不全を防ぐために不可欠です。
部位別の骨折の特徴
中手骨骨折は母指の中手骨骨折と母指以外の中手骨骨折に分けて考えるとわかりやすいので、わけて説明します。
母指以外の中手骨骨折

中手骨頭骨折
中手骨頭骨折の分類には、靭帯剥離骨折、多関節骨折、粉砕骨折、中手骨頸部骨折の伸展骨折(ボクサー骨折など)、圧迫骨折などがあります。治療法としては、プレートによる合併症のリスクがあるため、スクリューやキルシュナー鋼線(Kワイヤー)が一般的に好まれます。中手骨頭骨折の主な長期合併症は、こわばりです。

中手骨頸部骨折
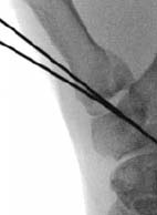
中手骨頸部骨折はよく見られ、典型的には第4指中手骨と第5指中手骨に生じます。「ボクサー骨折」と呼ばれることが多いこの骨折は、乱闘や硬い物体を殴打した際に発生します。中手骨頸部骨折で特に注意することは骨の回旋です。骨が回旋すると、指を曲げた時に隣の指と重なる現象が生じます。頸部の背側への衝撃と掌側粉砕、そして中手指節間関節(MCP:指の第3関節)の掌側にある内在筋の牽引により、頂点背側屈曲が生じることがよくあります。整復はJahss法(下図)を用いて行われます。この方法では、指節間関節を屈曲させ、曲げた指に圧力をかけ、頭部を背側に押しながら、中手骨幹部に背側からの反圧を加えます。
文献5】より
頸部骨折の大部分は、徒手整復の有無にかかわらず、非手術的に治療できます。背側角度が30°未満で、回旋異常のない症例では、通常、バディテーピングと可動可能な装具を使用し、硬直を予防するために指を動かすことを推奨します。これらの骨折における角度の許容範囲は、一般的に、第2指と3指の許容範囲は15°未満、第4指は20~40°、第5指は最大60°です。このような症例では、機能は許容範囲内ですが、整容上の「指関節」の喪失が起こる可能性があり、中手骨の一部が手掌側や手の甲に突出が残る可能性があることを患者に伝える必要があります。徒手整復後も許容できない回旋異常やアライメント異常がある場合は、手術的固定の適応となります。特に、頸部レベルでの5°の回旋異常は、屈曲時に指先の重なりが1.5cmになる可能性があることに注意が必要です。外科的治療の選択肢としては、経皮的ピンニングによる非観血的整復、髄内スクリューによる内固定による非観血的整復、および経皮ピンニングまたは内固定による観血的整復があります。中手骨頸部骨折の変形癒合は、顕著な機能障害につながることはまれですが、機能障害がある場合は骨切り術と固定が必要になる場合があります。最終的には、観血的整復は軟部組織の瘢痕化とMCP関節の硬直のリスクを高めるため、最も侵襲性の低い方法が好まれます)。「ブーケピンニング」は、早期の可動化を可能にする「非観血的」骨接合法として、1995年にFoucherによって初めて提唱されました。最近の報告では、この方法による良好な転帰が報告されています。
文献1】より
(a) 銃撃による第5中手骨骨幹部の粉砕骨折の術前X線写真。 (b) 非観血的整復および経皮的ピンニング後の術中透視像、および(c, d) 術後3週および23週のX線写真。骨折の癒合が進行し、骨のアライメントも良好である。
中手骨骨幹部骨折
中手骨骨幹部骨折は、中手骨間靭帯の支持により、しばしば安定します。骨幹部骨折のパターンは、多くの場合、横骨折、斜骨折(螺旋骨折を含む)、粉砕骨折です。骨幹部骨折治癒過程では、不完全癒合による骨の短縮・角度、回旋が問題となります。変形が進むにつれて握力の低下が顕著な特徴となります。中手骨が1ミリメートル短縮する事により、握力が6.5%失われることが示されています。中手骨骨幹部骨折で許容される骨折角度は、第2指と3指で10°未満、第4指で20°未満、第5指で30°未満です。また、わずか5°の回旋異常でも1.5cmの指の重なりが生じることが示されています。指はすべて舟状骨結節の方向を指すべきです。回旋変形がある場合、指はハサミに見えるように見えます。骨幹部骨折の大部分は、徒手整復の有無にかかわらず、非手術的に治療できます。第5指中手骨幹骨折の患者139名を追跡した研究では、角度が30°を超える患者では、手術治療と保存治療で骨の強度、握力、美観スコアに統計的に有意な差は見られませんでした。非観血的整復でアライメントは良好でも整復の維持が困難な症例では、経皮的ピン固定が必要となることがあります。ピン固定には、クロスピン、IMピン、横断ピンなど、複数の中手骨頭にまたがって長さを維持できる様々な方法があります。非観血的整復を試みた後に整復不能な骨折がある場合、しばしば観血的整復が必要となります。また、開放骨折、多発骨折、ピン固定では安定性が得られない骨折にも適応となります。観血的整復は、経皮的ピン固定または内固定と併用することができます。内固定法の選択肢としては、髄内スクリュー、骨片間スクリュー、プレート&スクリューなどがあります。

中手骨基部骨折
第2指中手骨から第5指中手骨基部の骨折はまれであり、中手骨頭骨折と同様に、発生する場合は関節内骨折が最も多く見られます。これらの骨折は、手根中手骨靭帯と中手骨間靭帯の支持により概ね安定しています。しかし、橈骨から尺骨方向では安定性が低下し、第4手根中手骨関節と第5手根中手骨関節では第2手根中手骨関節と第3手根中手骨関節よりも大きな動きが生じます。長橈側手根伸筋、短橈側手根伸筋、橈側手根屈筋、尺側手根屈筋、尺側手根伸筋などの腱付着部は、安定化または変形を引き起こす可能性があります。手術療法では、第2指と第3指中手骨基部骨折それぞれにおいて、長橈側手根伸筋と短橈側手根伸筋の付着部を修復します。第4指中手骨基部の単独骨折に関する文献報告はほとんどありません。これは、有鉤骨との骨関節の安定性、対称的な背側および掌側手根中手骨靭帯と中手骨間靭帯、そして隣接する第3および第5中手骨基部との関節の安定性に起因します。第5指中手骨基部の骨折は、母指中手骨基部のベネット骨折と機械的に類似しています。尺側手根伸筋が基部に対して及ぼす変形力は、近位および尺側への変位を引き起こします。多くの場合、手掌側橈側は、第4中手骨と共有する中手骨間靭帯の影響で、アライメントを維持します。これらの骨折の治療は非常に多様であり、文献においてもコンセンサスは存在しません。一般的な外科的適応は、手根骨中手関節面の修復です。介入の有無にかかわらず、約40%の患者が慢性疼痛を経験する可能性があります。


母指中手骨骨折
母指中手骨頭骨折
母指中手骨頭骨折は、まれです。骨を貫く長手方向の力が、中手骨の骨幹と基部で分散されるからです。これらの骨折はしばしば関節内に発生し、転位がある場合は開放整復固定術が必要となります。
母指中手骨骨幹骨折
母指中手骨骨幹の骨折は、典型的には近位骨幹端骨幹接合部で発生します。これらの関節外骨折は、しばしば「上基底骨折」と呼ばれます。背側屈曲は、近位節における母指長母指外転筋の牽引と、遠位節における母指内転筋、母指短外転筋、および母指短屈筋の牽引によって生じます。これにより、遠位節は内転および屈曲します。母指中手骨は鞍関節の3つの平面内で運動するため、他の母指中手骨よりも大きな変位と回旋を許容します。しかし、20~30°を超える屈曲は、代償性に大菱形骨中手骨関節の過伸展を引き起こす可能性があるため、手術的介入が適応となることがよくあります。

母指中手骨基部骨折
母指基部骨折は、大菱形骨中手骨関節の脱臼を伴うことがよくあります。これらの損傷は、母指中手骨が屈曲した状態で軸方向の荷重を受けることで発生します。一般的な病名として、「ベネット骨折」と「ローランド骨折」の2つがよく知られています。ベネット骨折は、母指中手骨基部の関節内骨折亜脱臼です。ベネット骨片は掌側靭帯によって固定されていますが、中手骨の残りの部分は長母指外転筋と母指内転筋の牽引により近位、背側、および橈側へ転位します。ベネット骨折の治療は、通常、関節適合性の回復を目的として、徒手整復と経皮的ピン固定を行います。徒手整復で整復できない場合は、観血的整復が必要です。メタアナリシスによると、手術的治療は非手術的治療と比較して疼痛緩和効果は大きいものの、合併症リスクは高いことが示されています。ローランド骨折は、母指中手骨基部のT字型またはY字型の関節内パターンを示す骨折です。これは、母指中手骨基部の粉砕性関節内骨折を総称して用いることが多いです。治療の適応と手技はベネット骨折のパターンと同様です。典型的なT字型またはY字型のパターンは、多くの場合、非観血的整復術や経皮的ピンニングが適しています。しかし、高度の粉砕骨折の場合は、大菱形骨中手骨関節の関節適合性を回復するために観血的整復術が必要になる可能性があります。
文献7】より
治療の原則
中手骨骨折治療の第一目標は、指の可動域を確保しつつ十分な安定性を確保することです。これにより、硬直や慢性的な機能障害の可能性を低減します。中手骨骨折に対して固定のみを行った初期の報告では、転帰は明らかに不良でした。この認識により、早期の可動域を確保するための手術手技と固定法の進歩が促進されました。
非手術的治療
軽度から中等度の変形を伴う中手骨骨折の大部分は非手術的に治療され、満足のいく臨床転帰を得ています。近年、非手術的治療の適応は拡大しており、第5指中手骨基部関節外骨折などの骨折に対する保存的治療のニーズが高まっています。非手術的に治療されるすべての中手骨骨折では、バディテーピングまたは副子固定による固定が一般的に行われ、早期に運動療法が開始されます。臨床的な癒合と安定性は、X線画像上の癒合よりもはるか前に達成されることがよくあります。

手術固定法
創外固定器
創外固定器は手では一般的には使用されませんが、分節性骨欠損や広範囲の軟部組織損傷を伴う中手骨骨折の安定化に役立ちます。これらの器具は、根治的治療(例えば、骨移植や内固定の前)までの橋渡しとして最もよく使用されます。この固定法の欠点としては、ピン挿入部の感染症や骨髄炎、過剰牽引、神経血管損傷、ゆるみ、ピンホール除去後の骨折などが挙げられます。

経皮的ピンニング
骨折の整復後に経皮的ピンニングを行う方法は、依然として一般的な手術固定法です。キルシュナーワイヤー(Kワイヤー)固定は、低侵襲性の選択肢であり、外科医が安定化パターンを柔軟に選択でき、軟部組織への損傷を最小限に抑えることができます。しかし、Kワイヤーは、スクリュー、プレート、釘を用いたより安定した固定法と比較して、固定が失われるリスクが高くなります。
文献1】より
ラグスクリューまたは骨片間スクリュー
ラグスクリューまたは骨片間スクリューは、特定の骨折、特に長い斜骨折に対して選択肢となります。原則として、骨折長が骨幅の2.5倍を超える場合は、ラグスクリューの使用を検討できます。この固定法はKワイヤーよりも安定性が高く、プレートやスクリューの設置に伴う軟部組織の剥離を必要としません。

プレート固定
中手骨骨折に対する最も安定した固定法はプレート固定です。しかし、プレートを骨に装着させるにはより広範囲の切開が必要となり、術後の硬直が増加する可能性があります。インプラント設置のための背側切開は、伸筋腱の炎症や癒着につながる可能性があります。粉砕転位骨折では、プレートとスクリュー構造が内固定に最適な選択肢となる場合があります。プレートは、明らかな欠損がある場合でも中手骨の長さを維持できます。最近の研究では、合併症の発生率は様々ですが、良好な機能が得られることが示されています。プレートの突出は、硬直に寄与する可動域低下の一因となります。インプラントの技術革新により、プレートは解剖学的形態に合わせてより薄型化されています。

髄内固定
髄内スクリュー固定は、低侵襲性アプローチと良好な転帰に関するエビデンスの増加により、より一般的になっています。中手骨頸部骨折に関する最近のシステマティックレビューでは、順行性髄内固定(髄内スクリューが骨折の近位端に挿入される方法)は、保存的治療や逆行性髄内固定と比較して、より迅速な疼痛軽減と機能改善をもたらすことが報告されています。しかしながら、順行性髄内固定は、インプラントの移動や神経学的合併症のリスクが高くなる可能性があります。逆行性挿入法(髄内スクリューが骨折の遠位端に挿入される方法)は、良好な成績が報告されている新しい手技です。中手骨頭骨折では、遠位骨片の大きさが、髄内スクリューによる順行性固定において問題となる場合があります。逆行性挿入法は、遠位骨片をより確実に捕捉できるため、一部の外科医は、これをより簡便な手技であると述べています。
文献1】より
髄内スクリュー固定、プレート、Kワイヤーの比較:メタアナリシス
中手骨骨折は固定方法として、髄内スクリュー固定(IMF)、キルシュナーワイヤー(Kワイヤー)、プレートで治療した場合のアウトカムを比較(メタアナリシス)した結果が2025年に報告されました。IMFで治療された患者はKワイヤー(7.4 [4.8-9.9])およびプレート(9.8 [5.3-14.3])で治療された患者と比較して腕・肩・手の障害(DASH)スコアが有意に低く(0.6[95%信頼区間[CI]、0.2-1.0])、IMF(4%、[2%-7%])では再手術率が、Kワイヤー(11%[7%-16%])やプレート(11%[0.07-0.17])と比べて有意に低いという結果でした。握力はIMF(104.4% [97.0-111.8])で有意に高く、Kワイヤー(88.5%、[88.3-88.7])とプレート(90.3%、[85.4-95.2])ではほぼ同じでした。3群間で放射線治癒までの時間(12週間で治癒)、指の可動域、感染率に統計的に有意な差はありませんでした。過去の文献ではIMFがプレートやKワイヤーに比べて、低侵襲アプローチ、限定的な軟部組織剥離、骨膜剥離の回避、プレートに比べて手術時間の短縮などの利点があることが示されています。
文献3】より
リハビリテーション
中手骨骨折治療開始後(保存療法でも手術療法でも)の早期の可動化は特に中手骨骨折のリハビリテーションとして特に重要です。多くの研究で関節のこわばりの予防や機能的転帰(握力と手首の可動域)の改善に重要性が強調されています。ロボットオーソセ(下図)の使用を含む高度なリハビリテーション技術は、早期の手の動きを促進し、機能回復を促進する可能性を示しています。ブロック作業(レゴなどのブロックをつまんだり組み立てる作業)は、手術後の可動域や手の機能を改善することに重点を置き、中手骨骨折後のリハビリテーションに不可欠です。従来の運動療法と日常生活動作(ADL)ベースの療法を運動療法に加えた場合を比較した研究では、ADLグループは3週間の介入と自宅プログラムの後に握力とつまみ筋力の改善がより顕著であることが示されました。これは、ADL活動をリハビリテーションプロトコルに取り入れることで、従来の運動単独よりもより良い結果が得られることを示唆しています。早期のアクティブエクササイズやブロック運動などのリハビリテーション技術は一貫して可動域や握力の向上につながり、ゲーミフィケーション(コンピューター・ゲームを用いたリハビリテーション)や在宅運動プログラムといった新しい方法は患者のアドヒーランスを高め、従来の理学療法への依存を減らす可能性を示しました。
文献6】より
文献
1】Metacarpal fractures. Journal of Hand Surgery, 2023;48:42S–50S
2】Management of Malunited Metacarpal Shaft Fractures—A Narrative Review. Br J Hosp Med. 2025.
https://doi.org/10.12968/hmed.2024.1053
3】Comparison of Intramedullary Screw Fixation, Plating, and K-Wires for Metacarpal Fracture Fixation:A Meta-Analysis. HAND, 2025;20:691–700
DOI: 10.1177/15589447241232094
4】Advancements in Metacarpal Fracture Management: A Narrative Review of Rehabilitative Strategies. Cureus. 2024;16:e69970. DOI 10.7759/cureus.69970
5】Distal Jahss manoeuvre for reduction of proximal phalangeal neck fractures. Ann R Coll Surg Engl. 2020;102:547–548. doi: 10.1308/rcsann.2020.0034
6】Feasibility of force myography for the direct control of an assistive robotic hand orthosis in non-impaired individuals. J Neuroeng Rehabil. 2023;20:101. doi: 10.1186/s12984-023-01222-8.
7】Bennett Fracture. In: StatPearls [Internet]. Treasure Island (FL): StatPearls Publishing; 2025 Jan.
<<2026年1月18日作成>>