IgG4関連疾患(IgG4-related disease) は、血清中のIgG4値の上昇、病変部組織へのIgG4陽性形質細胞浸潤と線維化を特徴とする多彩な臓器病変を伴う全身性疾患です。以前は自己免疫性膵炎、ミクリッツ病(唾液腺・涙腺の病気)、リーデル甲状腺炎などは別々の臓器特異的疾患として認識されていましたが、これらの疾患は後に、IgG4陽性形質細胞浸潤と線維化という共通の組織病理学的特徴に基づく単一の診断、すなわち、IgG4関連疾患として統合されました。この概念の統一は、IgG4関連疾患の全身的な性質を理解し、診断および治療アプローチを標準化するための極めて重要な一歩を示しました。膵臓、唾液腺、涙腺、甲状腺以外にも、胆管、中枢神経系、肺、肝臓、消化管、腎臓、前立腺、後腹膜、動脈、リンパ節、皮膚、乳腺などに病変が認められます。患者の約30%は、アレルギー性鼻炎や気管支喘息などの併存するアレルギー疾患を患っており、一部の患者は好酸球増加症と血清IgE値の上昇を示します。本疾患は、2001年に本邦のHamano、Kawaらが、自己免疫性膵炎において、血清IgG4の上昇を認めたと報告(N Engl J Med. 2001; 344: 732-8)したことに始まります。
【1】IgG4関連疾患の疫学
入手可能なデータに基づくと、IgG4関連疾患は、涙腺炎と唾液腺炎の場合を除いて、男性が優勢 (約 2:1) であり、診断時の年齢の中央値は60歳から70 歳であることを示されています。札幌医科大学の研究結果(文献 2)では、発症年齢は55%以上が60歳以上でした。
日本では、IgG4関連疾患の典型的な症状である自己免疫性膵炎の有病率が、2007年から2011年の間に10万人あたり2.2例から4.6例に上昇しましたが、これはおそらく臨床意識の高まりと診断能力の向上を反映しています。小児の症例はまれであり、家族性クラスター化は非常にまれです。
【2】IgG4関連疾患の病態
IgG4自体がIgG4関連疾患の病因にどのように関わっているかについてはまだはっきりとはわかっていません。さらに、IgG4関連疾患に特異的な自己抗原や自己抗体は同定されていません。IgG4関連疾患の病理組織でみられる線維性炎症反応は、主にBリンパ球、IgG陽性およびIgG4陽性形質細胞、Tリンパ球、および胚中心および抗原提示細胞を伴うリンパ濾胞形成を特徴としており、局所の免疫応答と後天性リンパ組織の発達をもたらします。この現象は各種臓器の腫瘤形成を誘発すると考えられています。IgG4関連疾患では2つのT細胞サブセットが同定されています。濾胞ヘルパー CD4+ T (Tfh) 細胞は、インターロイキン(IL)-4を産生し、B細胞のIgG4とIgEの両方へのクラススイッチングとB細胞によるIgG4産生に重要な役割を果たします。また、細胞傷害性CD4+ SLAMF7+ T細胞が、線維化促進性サイトカインおよび細胞溶解性分子を介した組織損傷および線維化の主要なドライバーであることが示唆されています。線維症は慢性炎症の結果であり、閉塞性静脈炎も炎症における非特異的な組織学的所見です。IgG4関連疾患では、線維化が進行し不可逆的な臓器損傷が発生します。
【3】IgG4関連疾患の臨床的特徴
1)全身性疾患で時間的・空間的多発性傾向が認められます。
はじめは唾液腺・涙腺に限局していた症例が、その後(場合によっては数年後)、膵炎、後腹膜線維症など全身性の病変を合併することがあります。札幌医科大学の研究結果(文献 2)では、PETやCTで検索した結果、涙腺・唾液腺以外の臓器病変を伴う患者の割合は61.4%でした。

2)腫大、腫瘤、壁肥厚などの画像所見が認められます。したがって、IgG4関連疾患が単一臓器のみに出現すると、全身的特徴の欠如しているため、悪性腫瘍、感染症、限局性炎症性疾患として誤分類されることがよくあります。
3)血清lgG4値上昇(135mg/dl以上:正常4.8-105mg/dl)の血液所見を認めます。血清IgG4値の上昇はかなりの割合の患者に見られますが、その診断的有用性は限られています。Bakerらによると、IgG4関連疾患患者のうち正常上限の5倍を超える血清IgG4濃度の患者の割合は75.4%であり、ACR/EULAR分類基準で著しく上昇した血清レベルに重点が置かれていることを裏付けています。しかし、生検で証明されたIgG4関連疾患患者でも正常な血清IgG4値を示すことが多く、血清IgG4濃度は疾患の重症度や臓器病変の程度と確実に相関していません。血清IgG4値の上昇も非特異的であり、自己免疫疾患、リンパ腫、慢性感染症など、他のさまざまな状況で発生する可能性があるため、その特異性が制限されます。そのため、血清IgG4値のみに依存するだけでは不十分であり、誤診が生じる可能性があります。
4)リンパ球や形質細胞浸潤・IgG4陽性形質細胞浸潤、花むしろ様線維化などの病理所見を認めます。
5)良好なステロイド反応性が認められますが、ステロイド減量・中止により再燃が高率に生じます。
【4】IgG4関連疾患の症状
IgG4関連疾患は通常、無症候性または非常に軽度の症状で現れます。障害される臓器によって、症状は異なりますが、頻度の多いものとして下記のものが挙げられます。
a) 膵炎・胆管炎に伴う閉塞性黄疸、上腹部不快感・腹痛、食欲不振
b) 膵炎・唾液腺炎・下垂体炎に伴う口渇
c) 涙腺・唾液腺腫脹
d) 水腎症・下肢の浮腫・背部痛:後腹膜線維化では、下大静脈の圧排により、下肢の浮腫が認められます。
e) 間質性肺炎による咳、息切れ
f) 前立腺炎に伴う排尿障害
g) 尿細管間質性腎炎に伴う腎機能障害
【5】IgG4関連疾患の臨床検査所見
IgG4関連疾患の診断に使用される臨床検査は、疾患活動性の監視にも使用されます。血清IgG4およびIgE値、末梢好酸球数は上昇し、補体値(C3およびC4)は低下します。低補体血症の患者では、ベースラインでのIgE濃度の上昇または末梢好酸球増加症が疾患活動性を示している可能性があります。他の臓器特異的疾患マーカーは、胆管炎の場合のアルカリホスファターゼなど、疾患活動性や組織損傷を特定するのに役立つ可能性があります。

文献 3)より
【6】IgG4関連疾患の病理学的特徴
いくつかの重要な顕微鏡的特徴は、影響を受けた臓器全体で一貫して特定されています。最も特徴的な所見の1つは、組織内の多数のリンパ球とポリクローナル形質細胞からなる高密度のリンパ形質細胞浸潤です。この浸潤は、疾患の慢性炎症性を反映しており、通常、関与するすべての部位で顕著です。分類基準では、組織病理学的診断の確定的な診断には、通常、リンパ形質細胞浸潤、花むしろ様線維化、閉塞性静脈炎の3つの主要な特徴のうち少なくとも2つが存在すること、およびIgG4陽性形質細胞の明らかな増加とIgG4陽性形質細胞/IgG陽性形質細胞比上昇(>40%)が必要であることを強調しています。診断の複雑さと他の状態と重複する可能性を考慮すると、治療を開始する前に生検を施行することが強く推奨されます。
IgG4関連疾患の主な組織病理学的特徴 (文献 1)より)
| 組織学的所見 |
特徴 |
組織学的顕微鏡写真 |
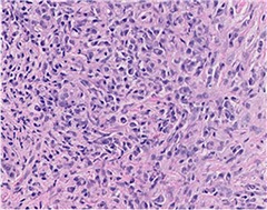
| 高密度リンパ形質細胞浸潤 |
IgG4関連疾患に特徴的な線維症を伴う緻密なリンパ形質細胞浸潤 (HE染色、×400)。 |
 |
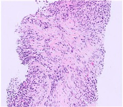
| 花むしろ様線維症(Storiform Fibrosis) |
リンパ形質細胞性炎症が散在する紡錘体細胞とコラーゲン束の花むしろ様配置。このパターンでは、線維化組織は、側転のスポークに似た、炎症病巣の周囲に放射状に広がる渦巻き状または渦巻き状に配置されます。この独特の線維構造は、この疾患の特徴として広く見なされており、その組織学的認識に大きく貢献しています。 (HE染色、×100) |
 |
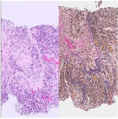
| 閉塞性静脈炎 |
中小規模の静脈は密なリンパ形質細胞性炎症によって浸潤して狭窄し、場合によっては内腔の完全な閉塞につながります(左:HE染色、x100)。EVG染色(右、×100))は血管壁の破壊を示し、閉塞性静脈炎を確認します(右)。この所見はIgG4関連疾患に特徴的ですが、常に存在するとは限りません。 |
 |
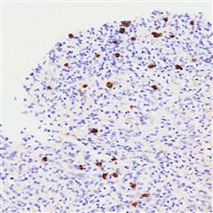
| IgG4陽性形質細胞の増加 |
IgG4+ 形質細胞の上昇 (ほとんどの臓器で >10 細胞/HPF、膵臓と腎臓 >50 細胞/HPF) は診断をサポートしますが、単独では十分ではありません。この場合、IgG4陽性形質細胞はIgG陽性形質細胞集団全体の>40%を占めており、これはIgG4関連疾患の2019 ACR/EULAR分類における主要な診断基準となります。 (IgG4免疫染色、×400) |
 |
【7】IgG4関連疾患の診断(分類基準)
認識が高まっているにもかかわらず、IgG4関連疾患は依然として頻繁に誤診されており、特に全身症状がなく単一臓器のみに腫瘤様病変を呈する場合に誤診されるケースが多々あります。日本では、2011年にIgG4関連疾患の最初の包括的な診断基準が導入され、2020年に更新されました。2019年、米国リウマチ学会(ACR)と欧州リウマチ学会(EULAR)は共同で、IgG4関連疾患の分類基準を提案しました。ACR/EULAR 分類では、3つの主要な組織病理学的特徴 (花むしろ様線維症、閉塞性静脈炎、高密度リンパ形質細胞浸潤) と、IgG4+/IgG+ 形質細胞比 >40%) および臓器特異的 IgG4+ 閾値が組み合わさったことが強調されます。血清IgG4 レベルはしばしば上昇しますが、その特異性が低いため、確認のため生検が必要です。
【8】IgG4関連疾患の鑑別診断
IgG4関連疾患と鑑別すべき疾患を列挙します。
IgG4関連硬化性胆管炎(IgG4-related Sclerosing Cholangitis)は、胆管狭窄を引き起こす可能性があり、原発性硬化性胆管炎(Primary Sclerosing Cholangitis)および胆管癌と鑑別を要することがあります。しかし、豊富な IgG4 陽性形質細胞を含む高密度リンパ形質細胞浸潤の組織学的同定、および存在する場合は血清IgG4値の上昇は、IgG4関連硬化性胆管炎の診断を裏付けます。自己免疫性膵炎(Autoimmune Pancreatitis)は、膵臓癌(Pancreatic Cancer)との鑑別が重要です。
頭頸部領域では、IgG4関連の涙腺炎および唾液腺炎(Mikulicz disease)をシェーグレン症候群(Sjögren's syndrome)、サルコイドーシス(Sarcoidosis)、唾液結石症(Sialolithiasis)などの良性閉塞性原因と区別する必要があります。すべてが腺の腫れや乾燥症状を呈する可能性があります。IgG4関連疾患は通常、シェーグレン症候群と比較して、より強いIgG4陽性形質細胞浸潤とより高いIgG4 / IgG比を示します。サルコイドーシスは、非乾酪性肉芽腫の存在によって区別できますが、唾液結石症は一般に、重大な炎症性または線維化性組織学的特徴を欠いています。
リンパ節腫脹はIgG4関連疾患の一般的な症状であり、ホジキンリンパ腫および非ホジキンリンパ腫(Lymphoma)、多中心性キャッスルマン病(Multicentric
Castleman disease)、反応性過形成などのリンパ増殖性疾患とよく似ています。IgG4の免疫組織化学的分析は、有用ですが、IgG4関連疾患のリンパ節では、他の臓器に見られる特徴的な花むしろ様線維症または閉塞性静脈炎を必ずしも示すとは限らないことを認識することが重要です。
IgG4関連疾患に関連する後腹膜線維症は、後腹膜線維症の特発性(Ormond's Disease)、二次性(Secondary Retroperitoneal Fibrosis)、または悪性の原因に似ている可能性があります。
肺では、IgG4関連疾患は、感染症(Infection)、サルコイドーシス(Sarcoidosis)、結合組織病(Connective Tissue Disease)に伴う間質性肺疾患、さらには腫瘍性病変と同様の放射線学的特徴を示す可能性があります。
IgG4関連疾患が甲状腺に波及すると(リーデル甲状腺炎:Riedel thyroiditis)線維化による結節が生じて、甲状腺癌やリンパ腫との鑑別が困難な場合があります。
全身性リンパ節腫脹、末梢好酸球増加症、ポリクローナル高ガンマグロブリン血症などのIgG4関連疾患の血液学的症状は、多中心性キャッスルマン病、リンパ腫、好酸球増加症候群などの全身性血液疾患に類似している可能性があります。
【9】IgG4関連疾患の治療
グルココルチコイド(ステロイド)
IgG4関連疾患の概念が確立されて以来、グルココルチコイド(ステロイド)に対する反応性がこの疾患の重要な特徴として認識されてきました。ほとんどの場合、患者は寛解導入療法としてステロイドによる初期治療を受けます。典型的には、30-40mg/日、または単一臓器の場合 0.6mg/kg/day、膵炎など全身性疾患の場合 1mg/kg/dayのプレドニゾロン(PSL)の開始用量が用いられます。以後、ステロイドの漸減が行われ、通常2-3ヶ月以内にPSL 5-10 mg/日の維持用量に達します。しかし、患者の約30%-60%が再発を経験する可能性があり、維持療法を中止する適切なタイミングについて慎重なモニタリングが必要です。維持療法のためのステロイドの長期使用は、骨粗鬆症、動脈硬化症、糖尿病の誘発などのステロイドの副作用を引き起こすことがあります。
免疫抑制剤
ステロイドの毒性を軽減するために、ステロイドと免疫抑制剤の組み合わせは有望な選択肢です。アザチオプリン、ミコフェノール酸モフェチル、メトトレキサート、レフルノミド、タクロリムス、シクロホスファミドでステロイド減量効果が報告されています。さらに、アバタセプトを用いたT細胞標的療法の有用性が期待されていますが、ある臨床試験ではその有効性が一部の患者でしか示されていません。
B細胞標的療法
いくつかの研究では、Bリンパ球を標的とする抗CD20モノクローナル抗体であるリツキシマブが、非常に有望なステロイド減量療法としての有効性を実証しています。IgG4関連疾患に対するリツキシマブ導入療法の有効性と安全性、およびリツキシマブ維持療法の効果に関するシステマティックレビューとメタアナリシスが2024年(文献 5)に報告されています。患者374例(平均年齢56.0歳±8.7歳、男性73.7%)、平均追跡期間23.4カ月±16.3カ月を対象とした18件の研究を組み入れました。
結果:リツキシマブ導入療法
| 奏効率 |
97.3%(95%CI、94.7%-99.1%) |
| 完全寛解率 |
55.8%(95%CI、39.6%-71.3%) |
| 全再発率 |
16.9%(95%CI、8.7%-27.1%) |
| 有害事象発生率 |
31.6%(95%CI、16.7%-48.9%) |
| 重篤な有害事象発生率 |
3.9%(95%CI、0.8%-8.9%) |
現在、B細胞標的療法として、抗CD19抗体[オベキシリマブ(XmAb5871)とイネビリズマブ]を使用した2つの国際ランダム化比較臨床試験が進行中です。
IL-4標的療法
2020年Simpsonらは、IgG4関連疾患患者において、IL-4およびIL-13シグナル伝達を阻害するIL-4受容体αに対するモノクローナル抗体であるデュピルマブの有効性を実証しました。IgG4関連疾患患者がもともとアトピー性皮膚炎と気管支喘息に処方されたデュピルマブと40 mg/日のプレドニゾロンによる治療を継続したところ、患者は2か月以内にステロイドの使用を中止することに成功し、デュピルマブ開始後12か月で後腹膜線維症は劇的な改善を示しました。対照的に、Ebbらはデュピルマブ単剤療法が効果がなかった症例を報告しました。Nakajimaらは、IgG4関連の涙腺炎および唾液腺炎の患者におけるデュピルマブ単剤療法の有効性も観察しました。IL-4/IL-13経路遮断は、IgG4関連疾患のステロイド減量療法として有望であると思われます。
非薬理学的治療
IgG4関連疾患の患者では非薬物療法を必要とする場合があります。これらの状況には、炎症性腹部大動脈瘤の悪化に対する血管内動脈瘤の修復手術、後腹膜線維症によって誘発される水腎症に対する尿管ステント留置術、およびIgG4関連硬化性胆管炎に対する内視鏡的胆道ステント留置術が含まれます。
【10】IgG4関連疾患の予後
自然消退例もありますが、プレドニゾロン減量に伴う再発例も認められます。札幌医科大学の研究結果(文献 2)では、患者の半数は7年以内に再発を認めました。
【11】文献
1)IgG4-Related Disease: Current and Future Insights into Pathological Diagnosis
Int. J. Mol. Sci. 2025;26:5325.
https://doi.org/10.3390/ijms26115325
2)Everyday clinical practice in IgG4-related dacryoadenitis and/or sialadenitis: Results from the SMART database
Mod Rheumatol. 2015;25:199–204
DOI: 10.3109/14397595.2014.950036
3)IgG4-Related Disease: A Review of Persistent Challenges in the Pathogenesis, Diagnosis, and Approaches to Treatment
Med Sci Monit. 2025;31:e950212
DOI: 10.12659/MSM.950212
4)IgG4-related Disease: Recent Topics on Immunological Aspects of This Disorder and Their Application in New Treatment Strategies
Intern Med. 2025;64:31-39
doi: 10.2169/internalmedicine.3154-23
5)Efficacy and safety of rituximab induction therapy and effect of rituximab maintenance for IgG4-related disease: a systematic review and meta-analysis
Eur J Intern Med. 2024;127:63-73.
doi: 10.1016/j.ejim.2024.06.006.